# 97 - @diagnóstico 97

# 97 - @diagnóstico 97

Fecha:
Marzo 2026
Autores:
María Laura Rodríguez

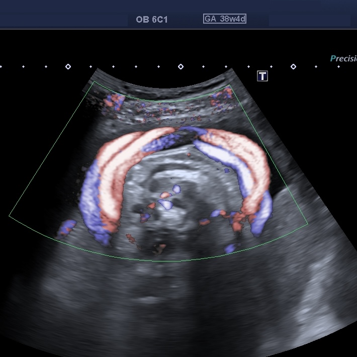
Se presenta el caso de una paciente primigesta, cursando un embarazo de 38 semanas de gestación, sin antecedentes de relevancia. Acude a la consulta para realizar una ecografía obstétrica con Doppler obstétrico. Refiere que, de mantenerse condiciones obstétricas favorables, se planificará un parto domiciliario. Hallazgos ecográficos: ? Feto único vivo, en presentación cefálica. ? Biometría acorde a la edad gestacional. ? Líquido amniótico dentro de parámetros normales. ? Placenta normoinserta. ? Doppler obstétrico dentro de rangos normales en todos los trayectos estudiados. A nivel del cuello fetal se observa las siguientes imágenes: Ante este hallazgo ecográfico usted: A) Interpreta doble circular de cordón y no la describe en el informe, ya que su presencia antenatal no modifica la conducta obstétrica ni predice por sí sola resultados adversos. B) Describe la doble circular de cordón umbilical como hallazgo ecográfico objetivo, especificando método diagnóstico, sin emitir recomendaciones obstétricas adicionales. C) Describe el hallazgo como circular de cordón múltiple e indica en el informe sugerencia de finalización institucional del embarazo debido al potencial riesgo intraparto.


Enviar un solo mail, con un solo diagnóstico por persona, a revistasaumb@gmail.com
Asunto: Respuesta @diagnóstico caso 97
Mencionar: Apellido, nombre y ciudad.
Fecha límite de recepción de respuestas: 14/04/2026