# 95 - Gastrosquisis con cierre espontáneo intraútero

# 95 - Gastrosquisis con cierre espontáneo intraútero

Fecha:
Septiembre 2025
Autores:
Eliana Ostrovsky

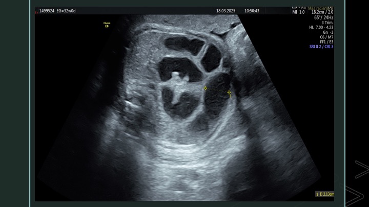
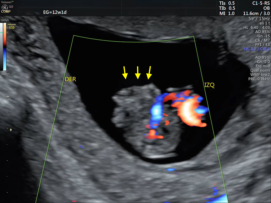
Se presenta el caso de una paciente de 23 años de edad, secundigesta, sin antecedentes personales ni familiares de relevancia. La paciente adjunta el estudio de screening de aneuploidías de la semana 11-14, que arroja bajo riesgo. Las imágenes 1 y 2 describen los hallazgos identificados durante la evaluación de la anatomía fetal en la semana 12. Las imágenes 3, 4 y 5 corresponden a los controles ecográficos posteriores, del segundo y tercer trimestre. La imagen 6 muestra al recién nacido. Seleccione la opción correcta: A. Corresponde a una hernia umbilical fisiológica con resolución más tardía. B. Corresponde a una gastrosquisis con cierre espontáneo intraútero. C. Corresponde a un onfalocele con ruptura del mismo. D. El defecto de pared cerró espontáneamente mejorando el pronóstico y riesgo de complicaciones gastrointestinales. Figura 1: se visualiza corte axial del abdomen fetal, a nivel de la inserción del cordón umbilical, con Doppler color en semana 12. Figura 2: se observa corte axial, a nivel de la inserción del cordón umbilical en la pared abdominal anterior, en semana 12. Figura 3: corte sagital a nivel de la inserción del cordón en la pared abdominal anterior, con Doppler color, en semana 20. Figura 4: corte axial del abdomen fetal, en semana 32, donde se identifica dilatación de las asas intestinales. Figura 5: corte axial del abdomen fetal, en semana 32, donde se identifica dilatación de las asas intestinales, con la utilización del Doppler color. Figura 6: se observa al recién nacido.


Respuesta correcta opción B:  corresponde a una gastrosquisis con cierre espontáneo intraútero.

El caso presentado corresponde a una paciente de 23 años, secundigesta, sin antecedentes personales de relevancia, con embarazo único y espontáneo, que concurre al consultorio de ecografía para realizar un screening combinado del primer trimestre en la semana 12. Se evidencia solución de continuidad en la pared abdominal anterior, adyacente al cordón umbilical, con exteriorización de asas intestinales, compatible con gastrosquisis (Figuras 1 y 2).

En la semana 15, se realiza una evaluación anatómica precoz donde se confirma el diagnóstico de gastrosquisis aislada, con exteriorización del intestino hacia la cavidad amniótica.

A las 23 semanas de gestación, se realiza una evaluación anatómica completa donde no se pudo constatar la exteriorización de asas intestinales descrita en estudios previos. A nivel intra-abdominal, se evidenció en la región adyacente a la inserción del cordón, asas intestinales dilatadas, con pared ecogénica y engrosada, la mayor de 8,5 mm. Estos hallazgos fueron interpretados como intestino evanescente en contexto de gastrosquisis (Figura 3). El resto de la anatomía fetal impresionó conservada, con evaluación ecocardiográfica fetal normal en semana 25.

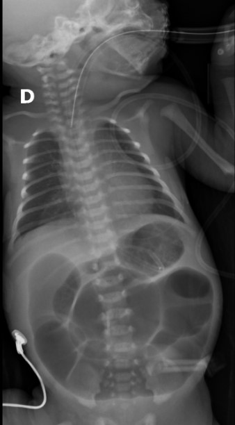
A partir de ese momento se realizó un seguimiento ecográfico exhaustivo, evidenciándose una dilatación progresiva del intestino intra-abdominal, entre 10.5 mm en semana 25 (Figura 4) a 26.5 mm en semana 34, siempre con aparente indemnidad de la pared abdominal (Figura 5). La progresión biométrica fue acorde a la edad gestacional, con Doppler fetoplacentario y valoraciones de líquido amniótico normales. En el último control ecográfico de la semana 34, el equipo de obstetricia, en conjunto con neonatología, deciden la finalización del embarazo por cesárea abdominal. El recién nacido fue de sexo masculino, con un peso de 2760 gs, adecuado para la edad gestacional, Apgar 6/8, y al examen físico presentó indemnidad de la pared abdominal anterior  (Figura 6). Se realiza una ecografía abdominal y radiografía de abdomen, confirmando la dilatación intestinal generalizada (Figura 7).  A las 72 horas de vida, se realiza laparotomía exploradora donde se identifican asas intestinales obstruidas a nivel de íleon y colon derecho por lo que se procede a la resección de las mismas con reconstrucción del tránsito mediante la anastomosis yeyuno colónica término-lateral y yeyunostomía en fosa ilíaca derecha. Actualmente, se encuentra en seguimiento por servicio de cirugía y gastroenterología pediátrica.

Se define como gastrosquisis a un defecto de cierre de la pared anterior del abdomen, de localización predominantemente lateral derecha a la inserción del cordón , ocasionando la salida de vísceras abdominales a la cavidad amniótica sin membrana que las recubran.

Su incidencia varía entre 2 y 5 por cada 10000 nacidos vivos, dependiendo de la población investigada 1. El pronóstico es generalmente bueno, pero en hasta el 10% de los casos, la muerte neonatal o infantil ocurre principalmente como resultado de una gastrosquisis compleja, que implica atresia, estenosis, vólvulo, necrosis o perforación intestinal al nacer, y en el 30% de los casos conduce al síndrome del intestino corto. La mortalidad en la gastrosquisis compleja es 3,6 veces mayor que en la gastrosquisis simple (1,2).

La gastrosquisis corresponde al grupo de anomalías siempre detectables durante el estudio de la semana 11-14 y su pronóstico depende fundamentalmente de las complicaciones gastrointestinales recientemente mencionadas, ya que rara vez se asocia con aneuploidías y las anomalías extraintestinales son poco frecuentes.  Por tal motivo el seguimiento prenatal debe estar dirigido a la evaluación del crecimiento fetal y a la observación de signos relacionados con atresia intestinal 3.

Se han propuesto varios marcadores ultrasonográficos a partir del segundo trimestre, como predictores de gastrosquisis compleja, incluyendo la dilatación intestinal intraabdominal (DIIA) y extraabdominaL (DIEA), el grosor de la pared intestinal, la dilatación gástrica y el polihidramnios, pero la única que ha demostrado ser beneficiosa de manera constante es la DIIA (1,2,3). Si bien no hay consenso acerca del punto el corte de DIIA, 7 mm a las 20-22 semanas,  demostró una la tasa de detección (TD), tasa de falso positivo (TFP), valor predictivo positivo (VPP) y valor predictivo negativo (VPP) para gastrosquisis compleja del 61,5 %, 6,7 %, 72,7 % y 89,4 %, respectivamente, mientras que 14 mm a las 30-32 semanas, los valores respectivos fueron del 64,9 %, 5,9 %, 75,0 % y 90,7 % 1.

Afortunadamente el mayor porcentaje de fetos cursa sin complicaciones y luego de la reparación quirúrgica las tasas de supervivencia de un recién nacido con gastrosquisis supera el 90%. Sin embargo un extremo más severo y poco frecuente de la presentación compleja es el fenómeno reportado como “gastrosquisis cerrada”  que conducirá a la estrangulación de las asas herniadas (que incluso pueden desaparecer: “intestino evanescente”) en la cavidad amniótica acompañado de un mínimo o ausencia del defecto en la pared abdominal fetal. Si esta eventualidad ocurre, el pronóstico es muy desalentador con una mortalidad superior al 70% como consecuencia de un intestino extremadamente corto.

Se postulan dos teorías que intentan explicar este suceso: la primera es la contracción del defecto de la pared, que provocaría el estrangulamiento del intestino herniado, necrosis  y posterior reabsorción, y la segunda el vólvulo, seguido de un infarto de las asas intestinales y posterior reabsorción de las mismas 4 .

 

La  gastrosquisis cerrada fue descrita por primera vez en 1957 por Kiesewetter 5 quien registró un caso de un recién nacido con  estrangulación de los intestinos protruidos debido al estrechamiento de la pared abdominal. En comparación con otras formas de gastrosquisis compleja, la DIIA tiende a ocurrir más tempranamente. Los signos de ultrasonográficos prenatales de sospecha de gastrosquisis cerrada incluyen una ausencia del defecto de la pared abdominal con dilatación del intestino intraabdominal en un feto con diagnóstico previo de gastrosquisis. Esto destaca la importancia de la detección temprana, ya que la apariencia del abdomen a menudo puede resultar engañosamente normal al nacer, causando un retraso en el diagnóstico y manejo postnatal 4 .

En conclusión, la gastrosquisis cerrada es una rara complicación de esta patología. Sin embargo, los médicos deben ser conscientes de ello porque su pronóstico está asociado con una alta morbimortalidad en comparación con la gastrosquisis clásica. Cuando esta entidad se visualiza o se sospecha, se sugiere asesoramiento prenatal sobre el riesgo del síndrome del intestino corto, la necesidad de nutrición parenteral y las complicaciones relacionadas a posteriori siendo esencial el enfoque multidisciplinario para mejorar los resultados a largo plazo 6 .


Lecturas Recomendadas:


1- Andrade, W.S., Brizot, M.L., Francisco, R.P.V., Tannuri, A.C., Syngelaki, A., Akolekar, R. and Nicolaides, K.H. (2019), Fetal intra-abdominal bowel dilation in prediction of complex gastroschisis. Ultrasound Obstet Gynecol, 54: 376-380. https://doi.org/10.1002/uog.20367

2- Kuleva M, Khen-Dunlop N, Dumez Y, Ville Y, Salomon LJ. Is complex gastroschisis predictable by prenatal ultrasound? BJOG. 2012 Jan;119(1):102-9. doi: 10.1111/j.1471-0528.2011.03183.x. Epub 2011 Oct 21. PMID: 22017923.

3- D'Antonio F, Virgone C, Rizzo G, Khalil A, Baud D, Cohen-Overbeek TE, Kuleva M, Salomon LJ, Flacco ME, Manzoli L, Giuliani S. Prenatal Risk Factors and Outcomes in Gastroschisis: A Meta-Analysis. Pediatrics. 2015 Jul;136(1):e159-69. doi: 10.1542/peds.2015-0017. PMID: 26122809.

4- Geslin D, Clermidi P, Gatibelza M E et al. What prenatal ultrasound features are predictable of complex or vanishing gastroschisis? A retrospective study. Prenat Diagn. 2017;37(02):168–175. doi: 10.1002/pd.4984.

5- Kiesewetter WB. Gastroschisis: Report of a Case. AMA Arch Surg. 1957;75(1):28–30. doi:10.1001/archsurg.1957.01280130032006

6- Ponce MM, Hermans D, de Magnee C, Hubinont C, Biard JM. Gastrosquisis que desaparece visualizada por ultrasonido prenatal: un informe de caso y revisión de la literatura. Eur J Obstet Gynecol Reprod Biol. 2018 Sep;228:186-190. doi: 10.1016/j.ejogrb.2018.06.028. Epub 2018 19 de junio. PMID: 29980113.

Enviar un solo mail, con un solo diagnóstico por persona, a revistasaumb@gmail.com
Asunto: Respuesta @diagnóstico caso 95
Mencionar: Apellido, nombre y ciudad.
Fecha límite de recepción de respuestas: 25/11/2025